非典型的ポリープを放置しない(疑わしきは罰する、の原則)

臨床の現場では「従来の診断学の理論で説明できない」「未知の遺伝子異常によると思われる」ポリープが見つかることも稀ではありません。

このような場合に「経過観察」という選択を取ると・・・・内視鏡後・大腸癌となる危険があります。実際に、そのような症例の報告は枚挙にいとまがありません。

「白か黒か解らないもの」は「経過観察」ではなくて「疑わしきは切除」という攻めの方針が重要なのです。

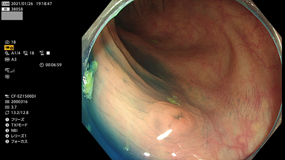
非典型的ポリープの例

炎症性のビランに見えますが・・・腺腫です(病理で確定ずみ)。


これも炎症にしか見えませんが、実は腺腫です(病理で確定ずみ)


粘膜の荒れにしか見えませんが、実は腺腫です(病理で確定ずみ)