CSDPの除去

ポリープの切除創に、見られる白い突起は「CSDP」と呼ばれます。成分は結合組織で、粘膜成分(腫瘍)は、通常は含まれません。

しかし、稀に、粘膜成分が残存することがあります。これを確実に除去することが再発(内視鏡後・大腸癌)の予防に肝要です。

 
 
スネアー・ワイヤーで病変を大きく切除します
 
周囲の正常粘膜を含んだまま「目玉焼き」状に切除されます
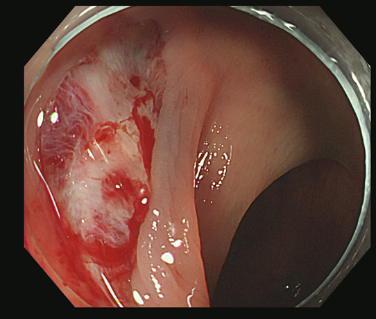
一見、完全切除のように見えますが・・・
 
 
切除創に白い突起(CSDP)があり、よく見ると根本に粘膜の遺残が見られます
切除創を時間をかけて丁寧に観察することが重要です
 
これをカンシで大きくつかみ取ります
 
これで、初めて完全切除と判断されます