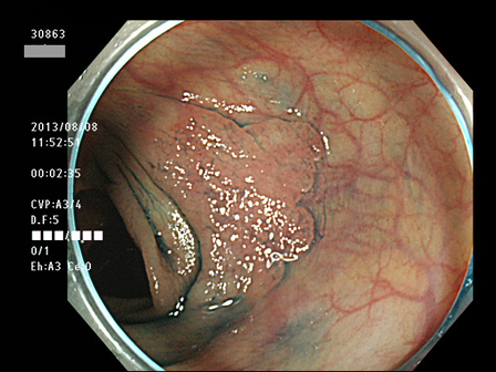
横行LST(平坦型腺腫)への注意

横行結腸の平坦型腺腫(LST)は「見落とし易い病変」の代表です

横行結腸はカーブしているため「接線方向からの観察」になり易く、LSTが認識しにくいのです

幸い、このタイプは癌化が「ゆっくり」なので「見落としが多い割には癌化は少ない」です