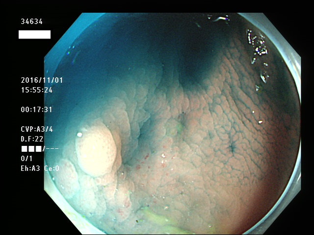
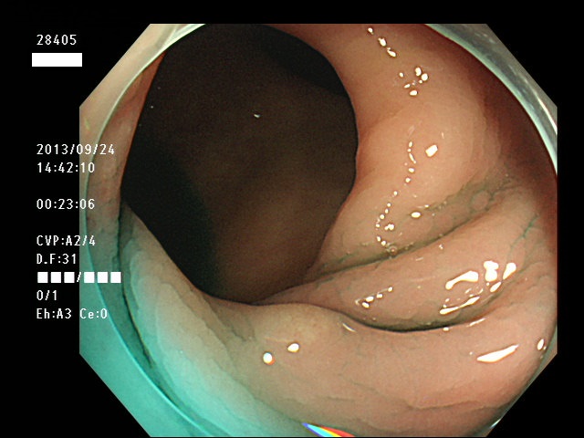
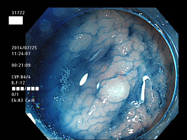
微小カルチノイドの診断
直腸の微小カルチノイドの診断は最も難しい問題です
微小とはいえ、カルチノイドは悪性であり、肛門に近い場所に好発するために、見落とすと数年後には「人工肛門」になる危険があります
進行したカルチノイドの診断は容易なのですが、カルチノイドは「粘膜下腫瘍」と言いまして、は表面が正常粘膜で被われているために微小ですと「単なる過形成結節」「単なる炎症性の隆起」と区別がつかないのです
下記の写真は全て、当院で診断された微小カルチノイド(悪性)ですが、いかに診断が困難かお分かりいただけるでしょう。このような微小病変でさえも見落とせば人工肛門の危険が潜んでいる訳です。
![]()
![]()