腺腫発見率 52%
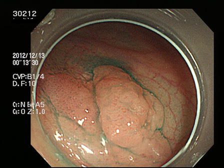
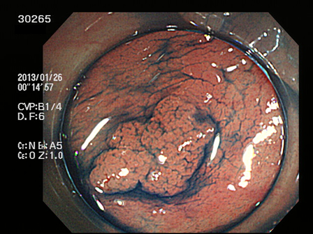
当院のカルテ番号30200〜30299の100名の方のうち、以下の52名のカルテ番号の方に腺腫(Adenoma,Group3〜4)が見つかりました

30200 30201 30204 30205 30209 30211 30212 30213 30215 30216 30217 30218 30219 30222 30223 30225 30226 30227 30229 30232 30234 30237 30238 30239 30241 30246 30249 30251 30258 30259 30260 30261 30263 30264 30265 30268 30269 30270 30272 30274 30279 30280 30284 30286 30287 30289 30292 30295 30296 30297 30298 30299・・・・・・・の52名

   
   
上記100名より抽出した平坦・陥凹型腺腫(=癌化の危険が高いが見落としやすい病変)の内視鏡写真

 前の100名  次の100名

大腸癌検診最新情報

大腸癌検診最新情報