腺腫発見率 58%
当院のカルテ番号30300〜30399の100名の方のうち、以下の58名のカルテ番号の方に腺腫(Adenoma,Group3〜4)が見つかりました
30300 30301 30303 30305 30306 30307 30308 30309 30310 30312 30315 30316
30317 30321 30322 30325 30331 30332 30334 30335 30336 30339 30341 30345
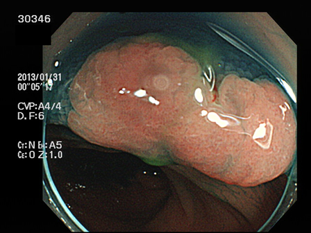
30346 30347 30348 30349 30350 30353 30356 30357 30360 30361 30363 30365
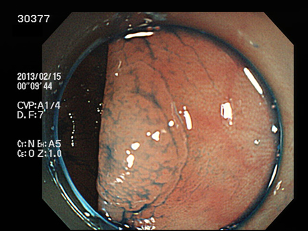
30366 30367 30372 30374 30375 30377 30379 30380 30381 30382 30383 30385
30388 30389 30391 30392 30394 30395 30396 30397 30399・・・・・・・の58名

上記100名より抽出した平坦・陥凹型腺腫(=癌化の危険が高いが見落としやすい病変)の内視鏡写真
大腸癌検診最新情報
大腸癌検診最新情報