腺腫発見率 63% (カルテ番号31100〜31199の100名の方の検査結果で集計)
以下のカルテ番号の方に腺腫(Adenoma,Group3〜5)が見つかりました
31100 31101 31103 31104 31105 31106 31108 31109 31110 31111 31113 31114
31115 31116 31117 31119 31120 31121 31123 31125 31126 31131 31132 31134
31135 31136 31138 31139 31141 31142 31145 31147 31148 31149 31150 31151
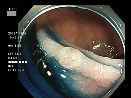
31153 31157 31159 31160 31162 31163 31166 31167 31169 31170 31171 31174
31175 31176 31177 31179 31180 31181 31182 31185 31186 31187 31189 31190
31192 31194 31195・・・・・の63名

上記100名より抽出した平坦・陥凹型腺腫(=癌化の危険が高いが見落としやすい病変)の内視鏡写真
大腸癌検診最新情報
大腸癌検診最新情報