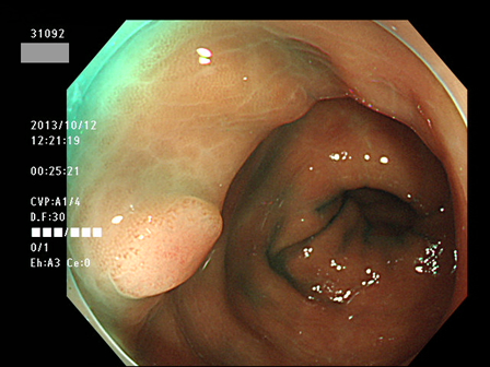
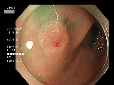
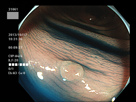
腺腫発見率 60% (カルテ番号31000〜31099の100名の方の検査結果で集計)
以下のカルテ番号の方に腺腫(Adenoma,Group3〜5)が見つかりました
31004 31006 31008 31010 31011 31012 31013 31014 31017 31018 31020 31024
31025 31026 31028 31030 31031 31033 31034 31035 31038 31039 31041 31042
31044 31045 31046 31047 31048 31049 31051 31052 31053 31054 31056 31058
31060 31061 31064 31065 31066 31068 31070 31077 31078 31080 31082 31084
31085 31086 31087 31088 31090 31092 31093 31095 31096 31097 31098 31099・・・・・・の60名

上記100名より抽出した平坦・陥凹型腺腫(=癌化の危険が高いが見落としやすい病変)の内視鏡写真
大腸癌検診最新情報
大腸癌検診最新情報