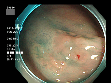
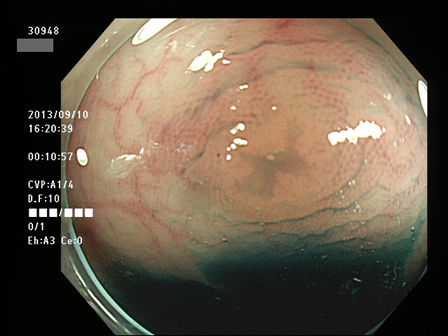
腺腫発見率 57% (カルテ番号30900〜30999の100名の方の検査結果で集計)
以下のカルテ番号の方に腺腫(Adenoma,Group3〜5)が見つかりました
30901 30902 30904 30907 30909 30910 30912 30913 30915 30919 30920 30921
30923 30924 30925 30926 30927 30929 30930 30931 30933 30934 30965 30937
30943 30946 30947 30948 30949 30950 30952 30956 30958 30960 30961 30962
30970 309710 30972 30973 30974 30978 30979 30981 30983 30984 30985 30986
30989 30990 30992 30993 30994 30995 30996 30998 30999・・・・・・の57名

上記100名より抽出した平坦・陥凹型腺腫(=癌化の危険が高いが見落としやすい病変)の内視鏡写真
大腸癌検診最新情報
大腸癌検診最新情報