腺腫発見率 65% (カルテ番号31300〜31399の100名の方の検査結果で集計)
以下のカルテ番号の方に腺腫(Adenoma,Group3〜5)が見つかりました
31302 31304 31305 31307 31308 31310 31312 31313 31315 31317 31318 31319
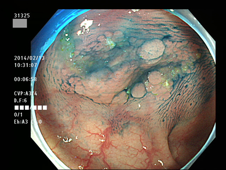
31320 31321 31322 31323 31324 31325 31326 31327 31328 31329 31331 31332
31333 31337 31338 31340 31341 31342 31344 31345 31346 31347 31348 31349
31350 31351 31353 31354 31356 31358 31362 31363 31364 31365 31366 31368
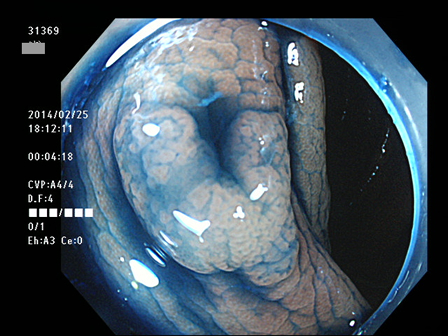
31369 31370 31371 31372 31375 31379 31381 31384 31385 31387 31389 31390
31391 31392 31397 31398 31399・・・・・の65名

上記100名より抽出した平坦・陥凹型腺腫(=癌化の危険が高いが見落としやすい病変)の内視鏡写真
大腸癌検診最新情報
大腸癌検診最新情報