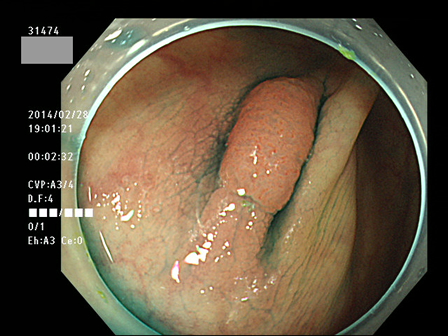
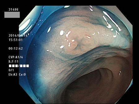
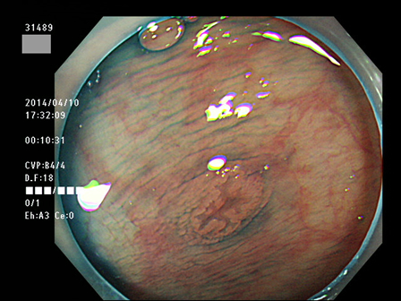
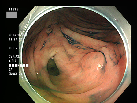
腺腫発見率 64 % (最新のカルテ番号 31400〜31499 の100名の新患の方で集計)
以下のカルテ番号の方に腺腫(Adenoma,Group3〜5)が見つかりました
31400 31403 31404 31405 31406 31407 31408 31410 31411 31414 31418 31420
31422 31424 31425 31426 31427 31428 31429 31431 31434 31436 31438 31439
31443 31445 31446 31447 31450 31451 31454 31455 31456 31458 31459 31461
31462 31464 31465 31466 31467 31468 31469 31470 31473 31474 31476 31477
31478 31479 31480 31484 31485 31486 31488 31489 31490 31491 31492 31493
31494 31495 31496 ・・・・の64名

上記100名より抽出した平坦・陥凹型腺腫(=癌化の危険が高いが見落としやすい病変)の内視鏡写真
大腸癌検診最新情報
大腸癌検診最新情報