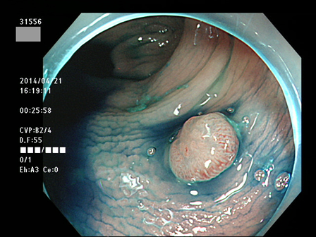
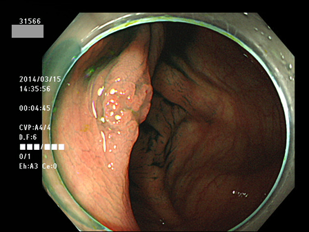
腺腫発見率 65 % (最新のカルテ番号 31500〜31599 の100名の新患の方で集計)
以下のカルテ番号の方に腺腫(Adenoma,Group3〜5)が見つかりました
31500 31501 31502 31504 31505 31507 31508 31514 31515 31516(SSA/Pのみ) 31517 31518 31519 31520 31522 31523 31524 31525 31526 31528 31529 31531
31532 31533 31534(SSA/Pのみ) 31537 31538 31539 31540 31541 31542 31545 31546 31550 31552 31553 31554 31555 31556 31562(SSA/Pのみ) 31563 31564 31565 31566 31567 31572 31573 31574 31576 31578 31579 31580 31581 31582 31586 31587 31589 31590 31591 31593 31596 31597 31598 31599 ・・・・の65名

上記100名より抽出した平坦・陥凹型腺腫(=癌化の危険が高いが見落としやすい病変)の内視鏡写真
大腸癌検診最新情報
大腸癌検診最新情報