腺腫発見率 55 % (最新のカルテ番号 31600〜31699 の100名の新患の方で集計)
以下のカルテ番号の方に腺腫(Adenoma,Group3〜5)が見つかりました

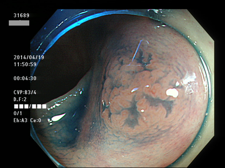
31600 31601 31603 31604 31606  31607 31610 31611 31612 31616 31623 31624 31625 31627 31630 31631 31632 31638 31639 31640 31641 31642 31644 31645 31646 31649 31650 31653 31656 31658 31659 31660 31661 31662 31665 31666 31667 31670 31671 31672 31673 31674 31676 31679 31680 31683 31684 31687 31689 31691 31693 31694 31696 31697 31699 ・・・・の55名


   
   
上記100名より抽出した平坦・陥凹型腺腫(=癌化の危険が高いが見落としやすい病変)の内視鏡写真
 前の100名 次の100名
大腸癌検診最新情報

大腸癌検診最新情報