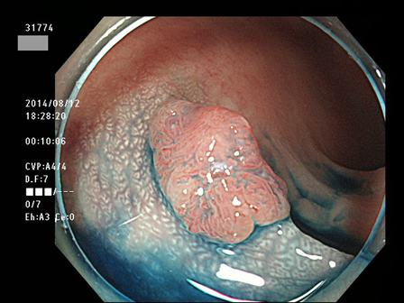
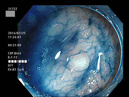
腺腫発見率 63 % (最新のカルテ番号 31700〜31799 の100名の新患の方で集計)
以下のカルテ番号の方に腺腫(Adenoma,Group3〜5)が見つかりました
31701 31703 31704 31705 31707 31711 31716 31717 31718 31719 31722 31723
31725 31726 31728 31729 31730 31731 31732 31735 31737 31739 31740 31741
31742 31743 31744 31746 31748 31752 31753 31755 31756 31759 31762 31763
31764 31765 31766 31767 31768 31769 31771 31774 31776 31777 31778 31779
31780 31781 31782 31784 31785 31786 31789 31790 31791 31792 31793 31794
31796 31797 31799 ・・・・の63名

上記100名より抽出した平坦・陥凹型腺腫(=癌化の危険が高いが見落としやすい病変)の内視鏡写真
大腸癌検診最新情報
大腸癌検診最新情報