腺腫発見率 58 % (最新のカルテ番号 31800〜31899 の100名の新患の方で集計)
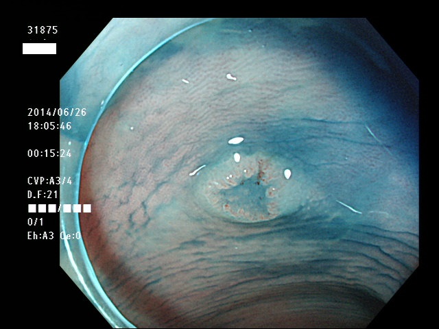
以下のカルテ番号の方に腺腫(Adenoma,Group3〜5)が見つかりました
31801 31803 31805 31806 31810 31811 31813 31814 31815 31816(SSA/Pのみ) 31817 31818 31819 31820 31821 31822 31827 31828 31830 31834 31836 31838 31839 31841 31844 31847 31850 31854 31855(SSA/Pのみ) 31856 31857 31860 31861 31862 31863 31864(SSA/Pのみ) 31865 31866 31869 31870 31872(SSA/Pのみ) 31874 31875 31876 31879 31880 31881 31882 31883 31886 31887 31888 31889
31890 31892 31893 31894 31897 ・・・・の58名

上記100名より抽出した平坦・陥凹型腺腫(=癌化の危険が高いが見落としやすい病変)の内視鏡写真
集計法 腺腫発見率の公表は非常に重いものです。次のように集計に「水増し」が不可能な公明正大な方法で集計しています。当院での新患の方(=当院で大腸内視鏡が始めての方)だけに限定するために当院の最新のカルテ番号の方、100人を母集団にします。これは当院で2ヶ月間に行われる検査の約6分の1です。当院での大腸内視鏡が2度目以降の再診の方は、様々なバイアス(つまり過去に腺腫を切除した方が多い)がかかりますから集計から除外します。そして病理検査で腺腫が確定した方のみを集計します(通常、腺腫発見率はこのような方法で集計されます。参考:大腸検査が再検査の方のデータはこちらにあります)。患者さん以外に病理検査センターや健康保険組合も自由に、このページを閲覧できますからカルテ番号を公開することで「水増し」があれば直ちに「誇大広告」が明白になります