虫垂(口)にSSAP(過形成ポリープ)が見つかったらどうするか?

最近、この問題で治療方針に悩む方が「増えて」きました。

なぜ増えたのかと言いますと・・・

(1)インターバル癌(内視鏡検査の直後に見つかる癌)の多くが「右側結腸(盲腸〜上行結腸)に発生する過形成ポリープ(SSAP)由来であることが解った(
(2)インターバル癌=見落とし癌、と捉える医師達は「右側結腸の過形成ポリープ(Proximal Hyper)」に対して警戒し、これを熱心に探すようになった(ここまでは、望ましい展開です
(3)すると虫垂の入り口にも、過形成ポリープが(従来の頻度よりはるかに多く)見つかるようになった
(4)問題はここからで・・・・盲腸〜上行結腸に見つかった過形成ポリープ(SSAP)は容易に内視鏡で切除できます。しかし病変が虫垂の中に入り込んでいると、内視鏡では完全な根治はできません。根治には外科手術が必要になる場合が多いです
(5)果たして、このような経緯で見つかった全ての病変に外科手術まですべきか?過剰治療なのではないか?というのが問題になる訳です。
    

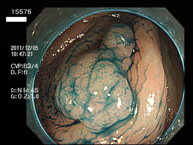
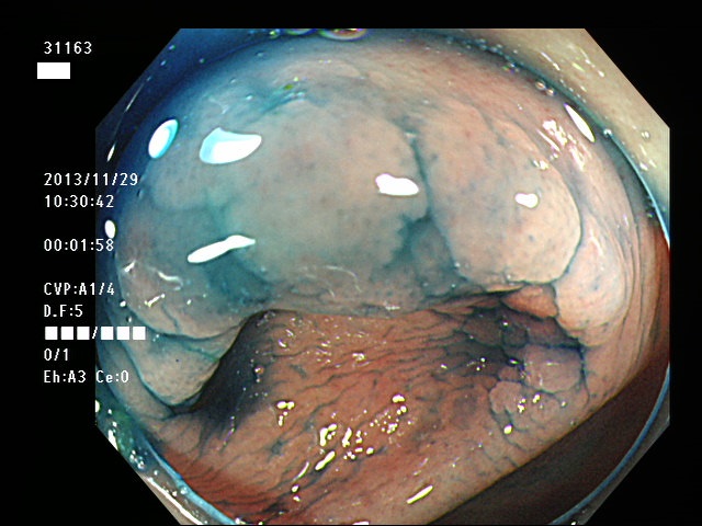
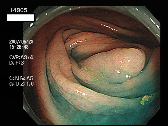
虫垂開口部の過形成ポリープ(SSAP)の例
         

虫垂にはSSAP(過形成ポリープ)ができ易い?
医師が熱心に探すようになったとは言え、それにしても虫垂SSAPは、よく見つかります。2016年の文献でSPS症候群の実に70%近くに虫垂のSSAPが合併すると報告されました。SPS症候群では大腸全体に 過形成ポリープが多発します。しかし、面積で大腸の極一部しか占めない虫垂に70%の確率でSSAPが合併するのは明らかに「多すぎ」です。虫垂は、大腸の他の部位よりもSSAPが出来易いと言えます。SSAPの発生に長期の炎症が関与しているという報告があります。虫垂は慢性的な炎症を起こすことが多いためにSSAPが出来易いのかもしれません。

虫垂SSAPは大腸癌死亡の原因になるか?なるなら、その危険はどの程度か?
この疑問を考えることが、結局のところ「虫垂SSAPを外科手術まですべきか否か?」という質問への回答になります
この疑問に回答するには人体実験が必要であり、現実的に正解を知る手段はありません。しかしこの疑問を考える上で重要な事実がいくつかあります
(1)虫垂の癌は大腸癌よりはるかに予後が悪いです。
(2)虫垂の切除は大腸の外科手術としては最も簡単で入院期間も短い物です。虫垂の腫瘍で悩むなら手術した方が早いという理論も成り立ちます。
(3)虫垂の癌で亡くなる方の数は非常に稀です。一方、盲腸癌は決して稀ではありません。虫垂開口部の過形成ポリープを「虫垂癌の始まり」と見るか「盲腸癌の始まり」と見るかで臨床的意味が大きく変わります。
(4)昔から虫垂開口部はInterval Cancer(内視鏡後・大腸癌)が多いことで有名でした。30年前の大腸内視鏡の教科書にも先人達が「虫垂の癌は見落としが多い。内視鏡が盲腸に達したら虫垂をしっかりと観察しなさい」と記載しています。


この問題について文献を検索しますと(下記リスト)国内外の多くの医師がこの問題に悩んでいる実態が解ります。しかし、治療方針について結論、指針、ガイドラインなどは国内外に、どこにもありません

 論文リスト
  • 2004年、虫垂のSSAP(Serrated Adenoma)に関する初めての多症例解析。Serrated and villous adenomas of the appendix appear to be highly aggressive lesionsと、結論づける
  • 2014年 京都府立医大がSSAPから発生した虫垂癌の1例を報告
  • 2015年、ブラジルから京都府立医大と同様の症例の報告あり
  • 2017年、韓国から虫垂腫瘍に内視鏡切除を施行した131例の解析報告。再発(不完全切除)15%、偶発症として出血10%、穿孔1.5%との結果でした(通常の大腸での内視鏡切除と比較して,極めて成績が悪いと言えます)

今後の遺伝子解析に期待

一般に過形成ポリープは「右側(盲腸側)に近いほど悪性化の危険が高い(遺伝子不安定性が強い)」という特徴があります。この右側ルールは現在の過形成ポリープの治療方針決定の最も基本になります。
このルールに従うと虫垂の過形成ポリープは最も危険な病変という事になるのですが・・・

最近、虫垂SSAPの遺伝子解析の報告がいくつかあります。虫垂のSSAPはRAS遺伝子が変異しているという報告や「microsatellite instabilityが稀である」との報告がありました(盲腸の腫瘍も同様の報告があります)

どういう意味かというと・・・・過形成ポリープはRAF型とRAS型に分けられます。RAS型は直腸(左側)に、RAF型は上行結腸(右側)に好発します。虫垂や盲腸のSSAPは上行結腸よりも直腸型に近い(位置は最も右にあるが、遺伝子は左側タイプ)という意味です。これから虫垂SSAPの癌化は「ゆっくり型」であると予想されますが・・・・あくまでも予想です


   遺伝子不安定性(MSI) 好発部位  悪性化 の危険
 RAS型
過形成ポリープ
弱い   左側
直腸
 低い ゆっくり
TSA Pathway
RAF型 
過形成ポリープ
強い   右側(深部結腸)
Proximal Hyper
高い 急激 
MLH1サイレンス=HNPCCタイプ
Serrated Pathway
手術を選択せず経過観察とした場合、CT検査は有益か?
大きな病変でなければ、通常は癌化のリスクが低いという予想の元、経過観察が推奨されます。確率的な判断という選択になりますが、問題は経過観察の方法です。虫垂の中は内視鏡で十分な観察ができないために癌化しているか否か?を経過観察するにはCT検査が必要になります。しかし遺伝子不安定性(MLH1サイレンス)が問題になる病変を定期的に放射線で被爆させることは癌化の確率を高めます。虫垂に炎症があると、この危険性は飛躍的に高くなります(この問題について詳しく)。定期的に受けるならCT検査よりもMRI検査の方が理想的(安全)です。