ITで大きく変わる大腸内視鏡
最近、当院で検査を受けた方は「粘膜の色が以前と違う」と感じたと思います。これは「TXI」という画像処理のためです。
昨年の10月にオリンパスの新型スコープ(1500型)を導入した記事を紹介しました。この新型には重要な、IT技術(TXIとAI診断補助)が利用可能です。今回は、この新技術の記事です。
TXIは、「画像の構造を強調する」技術です。これは特別に目新しいものではありません。パソコンの画像編集ソフトや、スマホのアプリでも御馴染みの技術です。しかし、「どのような構造強調が実際に、内視鏡に一番、合うか?(強すぎると不自然になる!)」は、難しい(アナログ的な)課題です。オリンパス社は数タイプのTXIモードを用意しました。半年間の試行錯誤の末、今では下記のモードがベストと判断しました。そして今では「TXI無しの内視鏡は不要(フルタイムTXI)」というまで常用しています。
革命を起こすTXI
以下に実例を挙げます
写真だけ、見ると「言われてみるとTXIの方が認識しやすい。でも僅かの差」と感じるでしょうが、この「僅かの差」が、人間の脳での検出には大きな差になります。青い色素(インジゴ・カルミン)が非常に強調され、粘膜の凸凹が明瞭になるのが特徴です。
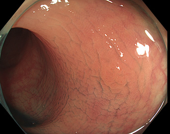
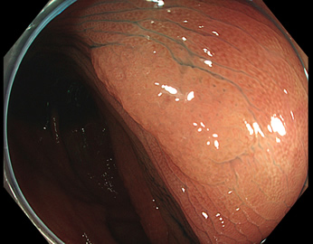
通常観察 TXIモード
青い色素は追加していません![]()
![]()
![]()
![]()
![]()
![]()
![]()
![]()
![]()
![]()
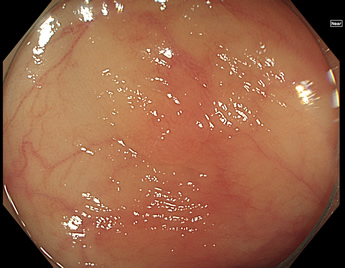
特に、下のような「Ub型(全く凸凹の無い完全に平坦な病変)」は、以前は「ほとんど見つからなかった」のが、TXIを使うようになってから「日常的に」見つかるようになりました。
通常観察 TXIモード
青い色素は追加していません![]()
ITは内視鏡を大きく変える。しかし、技術の熟成には想像以上に時間がかかる
オリンパスの内視鏡には昔から「構造強調機能」が付いていましたが、正直な所「使い物にはならない」もので、今回のTXIで、ようやく完成のレベルになったと感じます。
一方、「内視鏡のAI診断補助」の方は「まだまだ」です。複数の会社のAIを私が使用した経験では「ベテランでは逆にAIが集中力を邪魔し、検査の精度を落とす。有害無益である。」と結論し、AIの導入を見送ることとしました。
ITの進歩は早いのですが、これが内視鏡というヒューマン・インターフェイスの医療機器で実際に有効になるには、「アナログ的・経験的な試行錯誤・熟成」が必要で、相当な時間がかかるというのが実感です。
「AIを使い専門医の内視鏡の精度を上げる」というのは難しく、個人的には「当分は不可能」と予測します。
しかし発想を180度変えて、「精度は低くても良いから廉価な内視鏡検診を量産する」という目的ならAIは重要なツールになるでしょう。
「非・専門医、研修医でもAIの補助により、専門医並みの内視鏡ができないか」
更に「看護師・検査技師でもAIの補助により、医師並みの内視鏡ができないか」という議論が行われています。
更に・・・・「人が不要の内視鏡」の一例として、最近、アマゾンが始めた「カプセル内視鏡の通販」があります。カプセル内視鏡では膨大な数の写真を読影するのですが、人間が読影するよりもAIの方が効率が良いのです。
カプセル内視鏡の精度は通常の内視鏡よりも大きく落ちます。しかし、医師も技師も全く介在せずにAIだけで全て完結しますから、低コストで大量生産が可能です。
医療インフラが恵まれている日本では、このような検診の需要は無いと思いますが、世界的には大きな需要がある訳です。