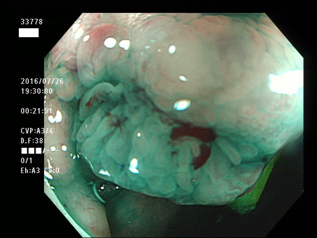
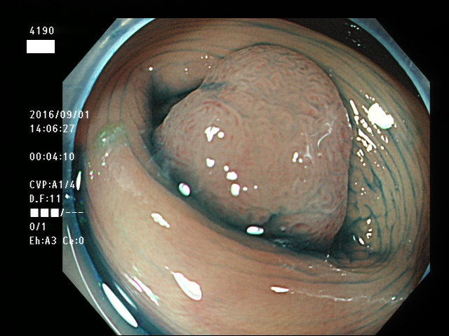
特殊な場所への注意
腸の平坦な場所にあれば容易に見つかる病変も凸凹のある所では見落とし易くなります。
回盲弁(小腸と盲腸の境界)や、憩室の中、炎症で腫れた部位などは複雑に凸凹しており、ここに微小な病変、平坦な病変があると認識が困難になり見落としの危険が高くなります
![]() |
![]() |
| 憩室内に発生した腺腫 | 憩室内に発生した腺腫 |
![]() |
![]() |
| 炎症性の隆起(腫れ)の上に発生した腺腫 | 回盲弁上に発生した腺腫(高度異型) |
![]() |
|
| 回盲弁上に発生した腺腫(柔毛と区別しにくい) |