虫垂(口)のSSAP(過形成ポリープ)に注意する

内視鏡後・大腸癌の多くは「右側結腸(盲腸〜上行結腸)に発生する過形成ポリープ(SSAP)由来である」と推測されています(

我々専門医は、これを警戒し「右側結腸の過形成ポリープ(Proximal Hyper)」を熱心に探すようになりました。

その結果、虫垂の入り口にも、過形成ポリープが多く見つかるようになりました

   この問題について詳しく・・・・


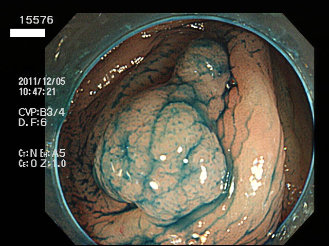
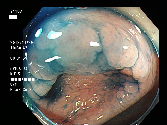
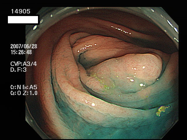
    虫垂開口部の過形成ポリープ(SSAP)の例
         

虫垂過形成ポリープは、実は、もっと重要な意味があります。

一般に虫垂過形成ポリープが見られる方は「大腸の他の部位にもポリープ(特にSSAP)が見つかる可能性が非常に高い」のです。つまり「危険な腸である」という警告灯になるのです。虫垂は大腸の一番奥ですから「観察のスタート地点」です。ここで警告灯が出ることは非常に有益な訳です。