内視鏡で見えない「大腸の進行癌」

始めに
通常、大腸の進行癌の認識は容易であり内視鏡で見えないことはありません。しかし癌が腸の外側に広がる場合(管外性)は、かなり進行しても内視鏡所見は「異常無し」になることがあります。代表的な「管外性大腸癌」は以下の3タイプがあります
)肛門腺癌()憩室内癌 ()虫垂癌
)肛門腺癌(AGC=Anal Gland Cancer)
「肛門腺」は動物では重要な器官ですが、人では退化して存在意義の無い器官です。しかし、この退化器官が、しばしば病気の原因になります。雑菌が侵入し化膿すると「肛門周囲膿瘍」となり、感染が慢性化すると「痔瘻」になります。更に、ここにHPVウイルスが入り込むと腺癌(肛門腺癌)を発症します(文献)。現在、この癌はHPVワクチンで予防できると考えられています(資料)。


この癌は、昔から「内視鏡で解らない癌」の代表として、教科書には必ず記載があります。表面が正常粘膜で被われており、腫れた痔核と区別がつかないのです。ある肛門の専門家は 「肛門腺癌の早期発見は偶然以外にはあり得ない」と述べており、肛門部皮膚癌の診断で外科手術を施行したが、実は肛門腺癌があることに手術後まで気付かなかったという報告や 「75ミリの癌が解らなかった」という報告もあります。

下記の報告は、世界的に極めて珍しい「初期の肛門腺癌」の報告なのですが、「浅い層の肛門腺」に癌が発生したもので、偶然の幸運により発見された病変です。

Early anal gland adenocarcinoma with a characteristic submucosal tumor-like appearance: a case report




)憩室内癌
憩室内に発生した癌が腸の外側に進展し腹部全体に広がったのに内視鏡では全く癌が指摘できない(憩室炎により腸が狭くなっている所見のみ)という現象が、数多く報告されています。(傍憩室膿瘍に発生した例横行結腸に発生した例膀胱結腸瘻と診断された例直腸憩室に発生した例)。



これは憩室が筋層を欠いているために、ここに癌ができると容易に深部(腸の外側)に浸潤するため、粘膜面に異常が出にくいからだろうと考えられています。

しかし、これだけでしょうか?

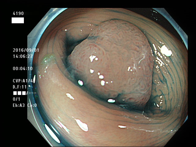
憩室内に早期癌が見つかることはよくあります(下記写真は憩室内に発生した粘膜内癌です。当院で見つかり、憩室反転下内視鏡切除で根治されました)。


下記の写真は憩室内癌が腹腔全体に広がり、その原発巣(憩室)を内視鏡で確認した世界的に極めて珍しい報告の写真です。(以下、この報告が正しいと仮定して話を進めます)癌が全く、粘膜面に露出していません。上記の写真とは全く、異質の所見です。これは「憩室の壁が薄いから」という解剖学的理由では説明が付かない現象です。憩室内癌は、次に述べる「虫垂粘液腫瘍」に似た、独特な生物学的特性があるように思われます。いずれも慢性的な炎症を母地にしていると思われますので、Colitic Cancer(大腸炎に発症する癌)に近いのかもしれません。今後の分子生物学的解明が待たれます。

憩室内に発生した癌が腹腔内に転移した症例報告
の内視鏡写真


内視鏡以外の検査で憩室と癌を鑑別できるか?
香川大学の報告では「高度の大腸狭窄を認めたが内視鏡で癌が確認できない」しかし「リンパ節腫大とPETの異常集積を認め、注腸所見、MRI,CTの所見から癌であると確信して」手術をしたが、癌ではなく憩室による狭窄であった症例を複数、報告しています。「大腸癌と憩室による狭窄を鑑別する方法」を述べた論文もあるが、結局、役に立たなかったと述べています。

一方、拡散強調MRIという方法で「憩室と癌を鑑別できる」という報告が2013年にあり、「癌と憩室の鑑別にはMRIが有効か?」という問題が放射線診断の専門家で議論されています。


)虫垂癌
虫垂に発生したポリープ状の早期癌が内視鏡で見つかることが、あります。これは「通常の大腸癌と同じタイプが、たまたま虫垂に発生した」ものです(2020年 Review)。

虫垂早期癌の症例報告より

このような「解り易い」虫垂癌とは全く異なるタイプがあります。「虫垂粘液腫瘍=Appendiceal Mucinous Neoplasms (AMN)と呼ばれる独特な腫瘍は、病理学的には悪性度が高くないのに早期から虫垂の壁を超えて、腹腔内に広がります。上記の憩室内癌と非常に似ており、虫垂の深部に発生することが多く、内視鏡では腫瘍を確認できません。



下記の動画は「反転虫垂様に見えるAMN」の症例報告です。虫垂内に粘液が充満しおり生検でAMNが検出されていますが腫瘍は見えません

Appendiceal mucinous neoplasm in an inverted appendix found on prior colonoscopyより


AMNは低悪性度のLAMNと高悪性度のHAMNに分けられます。最近、AMNの遺伝子解析が進みました。「RAS⇒p53⇒WNT(APC,RNF43)」の順番で変異が起こりMSIも見られると報告されています(2021年資料)。この事実から「AMNは腺腫よりも過形成ポリープ・SSAPに近い」と言えます(⇒虫垂のSSAP)。これは「悪性度の高い粘液癌は過形成ポリープ(杯細胞)由来である」という説と一致します。AMNと虫垂の過形成ポリープ・SSAPとの鑑別を検討した報告も、あります。一方、AMNは「KRASとGNASが初期に異常になる」という報告もあり、膵臓の粘液腫瘍:IPMN(=KRAとGNASが異常になる)にも近いとも言えます。


肺癌は胃癌・大腸癌と異なり組織検査が容易にできません。病理診断無しで手術が行われることも通常です。最近、リキッド・バイオプシー(血中循環腫瘍細胞のDNA解析)を肺癌診療の主役にするという意見が急速に普及しています。検査の目的はActionable mutationsと呼ばれる「治療に直結する遺伝子変異」の検出です。先の記事で「肛門癌はp16陽性、p53正常ならDNA二重鎖切断=放射線化学療法が著効する(手術不要)」という話を書きましたが、これが当にActionable mutationです。

全く、同じ理由から、最近の分子生物学的知見を踏まえ「リキッド・バイオプシーで虫垂AMNの診断を行う」という報告が出てきました。非常に興味深い研究で、今後は肛門腺癌や憩室内癌などの他の「暗黒大陸の大腸癌」にも応用されると思われます。




最後に患者さんに有益な情報をまとめたいと思います

大腸内視鏡をすれば進行癌が確実に解るという先入感は間違いです。
異常な症状が続くなら内視鏡だけで終わりにせず、MRI・CT・PETなどの画像検査やバイオマーカー検査も検討すべきです。特に肛門部不快感(痔)のある方、憩室の多い方、虫垂を切除していない方、は要注意です。